07
2021/12
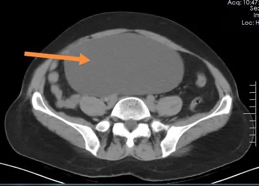
南丹县人民医院妇科又一次在腹腔镜下成功切除盆腔巨大肿瘤近日,南丹县人民医院妇科在腹腔镜下成功切除盆腔巨大肿瘤,肿瘤重达3000g(6斤)。患者病情评估患者莫阿姨(化名),女,52岁,诉8个月前开始出现下腹部隐痛、坠胀不适,并自觉腹部逐渐增大,但未进行诊治,直至腹痛突然加重后到我院进行就诊。就诊医生检查发现患者腹部膨隆如孕6个月,腹部包块上界达脐上2横指,压痛明显,结合CT检查,初步判断为腹...
2021-12-07 MORE >13
2021/07
怀胎十月孕期发现宝宝胎位不正属于“臀位”不好顺产怎么办?只能选择剖宫产吗?问1.什么是臀位?臀位指胎儿以臀部最先进入母体骨盆的胎位,是最常见的一种异常胎位,在怀孕20周左右发生率最高,随后逐渐降低。多数由于胎儿在宫腔内活动空间过大、过小或胎头下降进入骨盆过程受阻造成。臀位胎儿多数可顺利生产,但也可能发生严重并发症,剖宫产是应对臀位的主要做法。问2.什么是外倒转术禁忌症?绝对禁忌...
2021-07-13 MORE >01
2021/04
磁刺激治疗系统(Transcranial Magnetic Stimulation ,TMS)技术是一种无侵入性的绿色诊断/治疗方法。是二十一世纪四大脑科学技术之一。它利用脉冲强磁场作用于中枢神经系统(主要是大脑),改变皮层神经细胞的膜电位,使之产生感应电流,影响脑内代谢和神经电活动,从而引起一系列生理生化反应的磁刺激技术。◈适应症◈脑卒中后偏瘫、脊髓损伤、周围神经损伤、运动功能障碍、慢性疼痛、癫痫、小儿自闭症、多...
2021-04-01 MORE >16
2021/01
经过多年的技术积淀,南丹县人民医院妇科形成了一系列的特色诊疗技术,给我县广大妇女疾病的诊疗带来了健康福音,特别是微创技术的进步在很大程度上减轻了患者的痛苦,减轻患者的经济负担,该项技术的创新,使得微创更趋于无创,也标志着我院微创技术的又一提升!目前,我院妇科年手术量达500多例,微创手术率高达98%,可以满足服务我县30多万人口及周边部分市县女性患者的诊疗需求,让许多家庭和妇女...
2021-01-16 MORE >
返回顶部